



Search




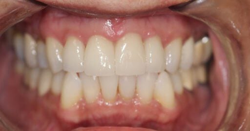
Cosmetic Dentistry
Enhancing the color and shape of your teeth
General Dentistry
Dental health check-ups and cavity care
Orthodontic Treatment
Straightening your smile
Pediatric Dentistry
Child-friendly dentistry
Prosthodontics
Implants and dentures
Endodontic Treatment
Caring for dental injuries and keeping the roots of your teeth healthy
Periodontal Care
Protecting your gum health